Nuestros tratamientos
Estética Dental
Existen numerosos problemas dentales que afectan, consecuentemente, a nuestra estética. En las Clínicas Campus Dental sabemos que los problemas de estética dental llegan a afectar incluso a nuestra autoestima, ya que la sonrisa es un elemento que afecta de manera vital en nuestro atractivo e imagen de nosotros mismos.
Los problemas de estética dental van desde la mala posición de las piezas (espacios entre dientes, inclinaciones…) hasta la variación de la forma de las mismas (dientes afilados, demasiados bajos, sonrisa gingival: cuando reímos enseñamos mucha encía).
Carillas de porcelana, blanqueamiento dental, ortodoncia, fundas de circonio, etc. Son algunas de las técnicas que usamos en Campus Dental para la Estética Dental.
Carillas de Porcelana
En una terminología sencilla, una carilla de porcelana es una lámina más o menos fina que cubre toda la cara frontal del diente, adhiriéndose a ella mediante una determinado tipo de cemento de resina (naturalmente no visible externamente). Al no requerir de una intervención complicada, y al presentar resultados excelentes (en duración y aspecto natural), la colocación de carillas de porcelana es una técnica reconstructiva muy demandada entre los tratamientos odontológicos estéticos requeridos en nuestras Clínicas Campus Dental, sobre todo en aquellos casos en que la reconstrucción de una sonrisa es más complicada.
Muchos actores y actrices de cine, cantantes, famosos y otras personalidades, ya han mejorado – sin que se note – el diseño de su sonrisa mediante este tipo de carillas.
Blanqueamiento Dental
En una sociedad y un tiempo en los que el atractivo físico se ha convertido en un valor importante, no contar con una bonita sonrisa ha pasado a ser una causa de complejos estéticos. Es habitual ver cómo muchas personas no sonríen o se tapan el rostro con la mano cuando no pueden evitar hacerlo con el fin de no mostrar su descolorida dentadura. Dado que unos dientes blancos y brillantes son una característica sine qua non es posible lucir una sonrisa perfecta, el blanqueamiento ha pasado a ser uno de los tratamientos de estética dental más demandados, también en nuestras Clínicas Campus Dental.
Ortodoncia
Es la rama de la odontología que se dedica a la corrección de las malpocisiones dentales así como a corregir las mal posiciones de los maxilares mediante el uso de aparatología fija o removible según caso, en algunos casos muy graves de malposiciones de los maxilares necesitamos la colaboración del cirugía ortognatica.
Para una información mas detallada ver apartado de ORTODONCIA.
Fundas de Circonio
Son fundas de cerámica en las que la estructura es de Circonio,al no llevar metal evitamos la translucidez oscura que producen a veces las fundas convencionales de metal cerámica.
Ortodoncia
En las Clínicas Campus Dental estamos especializados en la Ortodoncia. Esta es una especialidad de la Odontología que realiza el diagnóstico y tratamiento de las alteraciones dentales y del tercio inferior facial. Tiene como objetivo la alineación de los dientes y una buena oclusión, es decir un correcto engranaje del maxilar superior y la mandíbula. Contamos con un departamento de Ortodoncia para niños y adultos.
Con la alineación dentaria conseguiremos, en situaciones de apiñamiento, prevenir problemas de caries y encías, por una menor retención de alimentos y una mayor facilidad para la higiene. Con una buena oclusión ayudaremos a la articulación temporo-mandibular, haciendo que sufra menos y disminuyendo la posibilidad de crear problemas. Conseguiremos mejorar la calidad de vida del paciente y una mejor estética.
El tratamiento puede ser preventivo, interceptivo o correctivo. No hay edad establecida para el inicio de ortodoncia, todo depende del problema que presente el paciente. Todas las técnicas, fijas, removibles, ortodoncia estética, ortodoncia invisible ( con retenedores transparentes), técnicas de autoligado (acorta tiempo de tratamiento).
El mejor consejo es acudir a revisiones periódicas y el profesional indicará cual es el proceso más adecuado y cuando empezar.
Antes de iniciar el tratamiento de ortodoncia es necesario realizar un estudio para elaborar un correcto diagnóstico y planificar el tratamiento.
El estudio consta de la cefalometria que son una serie de medidas sacadas de la radiografia lateral de cráneo.Ortopantomografia, modelos de estudio y fotografías.
Con todas estas pruebas el ortodoncista valora la situación y elige el tratamiento mas correcto para su situación.
Este tratamiento es realizado por el experto en Ortodoncia de nuestras Clínicas Campus Dental, dedicado en exclusiva a esta especialidad.
Más abajo puede descargar un .pdf con ej ejemplo de una Cefalometría.
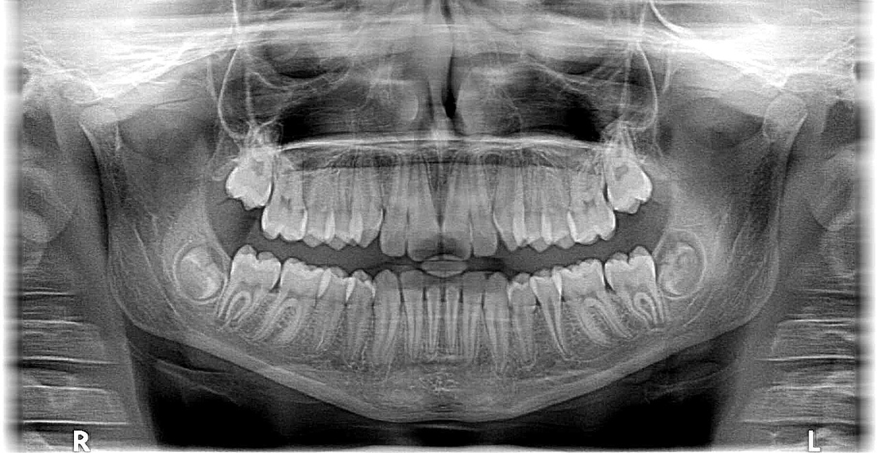
Servicios de radiología 3D, TAC dental
Las Clínicas Campus Dental disponen de Ortopantomógrafo digital con cefalostato y TAC dental.
Estaremos encantados de atender a los pacientes que nos remitan para estudio radiográfico dental o radiografía dental. El paciente podrá disponer del estudio grabado en CD a los pocos minutos.
Los estudios i-CAT se entregan en un CD que incorpora un software que le permitirá visualizar y procesar las imágenes de manera clara y sencilla.
Odontopediatría u odontología infantil
Que la salud oral es una parte integral de la salud general del niño es algo que sabemos bien en las Clínicas Campus Dental. Es por eso que contamos con un Departamento especializado en los niños dentro del cual se enmarca nuestro servicio de odontopediatría u odontología infantil: es la especialidad de la odontología que trata el cuidado oral preventivo y terapéutico de niños.
El principal objetivo durante el tratamiento dental es dirigir al niño para que su actitud sea positiva. Consiguiendo su confianza podremos crear un buen ambiente dental y lograr que el niño se lleve una buena experiencia formando así una base para futuras interacciones positivas con el odontólogo
La Sociedad Española de Odontopediatría recomienda que la primera visita del infante se realice cuando se haya completado la erupción de la 20 piezas que componen la primera dentición, aproximadamente a los 3 años de edad.
En esta primera visita, los Odontopediatras de nuestras Clínicas Campus Dental examinarán los dientes, las encías y la mandíbula del niño para comprobar si hay algún problema. Además, los padres recibirán información acerca de la dieta no cariogénica, de la higiene bucal y del manejo de ciertos hábitos bucales como el chupete y la succión digital.
Los puntos estratégicos de orientación temprana sobre salud oral infantil que recomendamos son:
1. Lactancia Materna:
• Fomentar la lactancia materna hasta el 6º mes de vida.
• Si el niño se queda dormido mientras es alimentado,limpiar sus dientes antes de acostarlo.
2. Uso del biberón:
• Utilizarse sólo como vehículo para la fórmula artificial.
• No agregar ningún tipo de azúcar o edulcorante.
• Desaconsejar el biberón nocturno después de la erupción de los primeros días.
• Si el niño se queda dormido mientras es alimentado, limpiar sus dientes antes de acostarlo.
• El biberón debe abandonarse progresivamente a partir de los 12 meses y definitivamente cuando erupcionen los molares.
3. Uso del chupete:
• Debe ser anatómico, retirarlo progresivamente a partir de los 12 meses, y definitivamente hacia los 2 años.
4. Transmisión bacteriana:
• Desaconsejar ciertos hábitos, como compartir utensilios con el bebé, limpiar el chupete con la saliva, soplar sobre la comida o besar en la boca.
5. Alimentación cariogénica:
• Evitar toda fuente de azúcares fermentables, especialmente durante los primeros 2 años de vida.
• Informar y evitar el consumo de “azúcares ocultos” y azúcares de consistencia pegajosa.
• Evitar tomar alimentos azucarados entre las comidas.
6. Higiene bucal:
• Debe realizarse por los padres hasta que el niño sea autónomo (6-8 años).
• Antes de la erupción de los primeros dientes ,empezar con la higiene bucal, al menos una vez al día, preferentemente después de cada toma de leche con una gasa húmeda.
• Después de la erupción de los primeros dientes, empezar con la higiene una vez al día con un dedal de silicona o un cepillo dental infantil sin dentífrico.
• Después de la erupción de primeros molares, utilizar cepillo dental infantil.
• Usar hilo dental cuando ya exista contacto entre los dientes.
• No utilizar ninguna pasta dental con flúor hasta los 2-3 años por riesgo de fluorosis.
• Utilizar pasta con 500pm de flúor en niños de 2-3 años de edad.
• Cantidad equivalente a un guisante.
• Utilizar pasta con mayores concentraciones de flúor en niños mayores de 7 años.
7. Uso de flúor:
• Según en nivel de riesgo, edad y concentración de fluór en el agua de consumo diario, el odontopediatra y/o pediatra decidirán la dosis de flúor sistémico.
• El odontopediatra y el pediatra deben decidir sobre el tipo de administración y frecuencia,en función el riesgo de caries.
8. Visita al Odontopediatra:
• El infante deberá tener su primera visita con el odontopediatra cuando se haya completado la erupción de la 20 piezas temporales.
Los problemas más prevalentes con respecto a la salud bucal en los niños en edad preescolar son la caries, afectaciones dentales por traumatismos y alteraciones en el crecimiento y desarrollo bucodental.
La caries, es actualmente la enfermedad crónica más frecuente en la infancia y presenta graves repercusiones en la salud general del niño, como dolor intenso, infecciones faciales que pueden requerir tratamientos de urgencias. Asimismo, los niños con caries precoz en la infancia tienen mayor riesgo de presentar nuevas caries en la dentición permanente.
Antes de los cinco años ya se diagnostican la mayor parte de los problemas del crecimiento de los maxilares. En las Clínicas dentales de Campus Dental, sabemos que un tratamiento temprano con ortodoncia removible puede aumentar la probabilidad de una corrección completa, reduciendo el tiempo de tratamiento con ortodoncia fija en edades posteriores e impidiendo la progresión hacia malocluciones dentales de mayor gravedad.
El objetivo de estas visitas tempranas es conseguir que nuestros pacientes infantiles lleguen a ser adultos con bocas sanas y para ello es tan importante la cooperación del niño como la tan apreciada ayuda de sus padres.
Más abajo puede descargar un archivo .rar con dos pdf sobre la erupción de la dentición de leche y sobre el recambio dentario.
Cirugía Bucal e Implantología
Ayudan a mantener un aspecto joven, permiten comer todo lo que se quiera, preservan los dientes sanos y mantienen la estructura facial, estas son las razones por las que Campus Dental recomendamos los implantes dentales.
¿Por qué Implantes Dentales?
– Sustituyen a tus piezas ausentes definitivamente.
– Te permiten comer todo lo que quieras.
– Preservan los dientes vecinos sanos.
– Puedes sonreír de nuevo sin temor a que tus dientes se muevan.
– Preservan la estructura facial: la falta de dientes provoca pérdida de hueso.
– Te devuelve la autoestima.
– Mejora tu calidad de vida.
– Los dientes e implantes pueden colocarse en una misma sesión.
Por todas las razones anteriores, en la Campus Dental recomendamos los Implantes Dentales.
Los Implantes sustituyen a los dientes ausentes, mejorando su calidad de vida, permitiendo a los pacientes tener los mismos hábitos de un dentadura natural. Los Implantes tienen un aspecto natural y armónico, para poder masticar, hablar y sonreír.
El Implante es un tornillo de titanio, que se introduce en el hueso del maxilar del paciente y funciona a modo de raíz del diente. Esta raíz de titanio va a servir para soportar una o varias piezas dentales.
* Pérdida de uno o más dientes: cuando un diente se pierde deja un espacio que hay que reponer ya que no hacerlo trae consecuencias para toda la cavidad bucal: Los dientes adyacentes se mueven, perdemos hueso, aumentan los problemas bucales exponencialmente, aparte del perjuicio estético.
* Sustituir la Prótesis Removible de quitar y poner, bien sean parciales o totales. Estas prótesis además del trastorno psicológico (era lo que usaban nuestros abuelos), de fonación y estético, producen daño con los retenedores en los dientes de soporte, y no resuelven problemas graves como la perdida de hueso por la falta de piezas
* Dientes con mucha movilidad (Piorrea) o Infecciones de repetición: Son dientes con mal pronóstico que no responden a los tratamientos conservadores, los cuales habrá que extraer, eliminar la infección y sustituir por un implante definitivo.
* Agenesia: Cuando hay Agenesia (falta de desarrollo de un diente) o Diente Incluido, la mejor opción es cubrir el espacio del diente con un Implante.
Elección de Implante
* Implantes de conexión externa: Cuando la conexión entre la prótesis y el implante se hace mediante un hexágono en la parte superior de este. Se utilizan en casos de prótesis múltiples fijadas con varios implantes.
* Implantes de conexión interna: Cuando la conexión entre la prótesis y el implantes se hace mediante una conexión en la parte superior interna del implante. Se usan con prótesis unitarias y en sectores anteriores, ya que tienen un resultado más estético.
*Implantes Cónicos: Implantes para aquellas situaciones donde las condiciones del hueso son de baja calidad o poca cantidad: osteoporosis, donde se ha puesto injerto óseo, enfermedades sistémicas, cuestiones anatómicas, etc. Tienen la ventaja que utilizan un menor fresado y su osteointegración es mejor.
Estudio Preoperatorio
El paciente es evaluado: Clínicamente, Analíticamente y con estudios de Imagen.
Un paciente en tratamiento con Anticoagulantes, Hipertenso, Diabético, Osteoporosis o en tratamiento con Citostáticos o enfermedades de base precisan de un control previo, que no es contraindicación para los Implantes.
Estudios de Imagen: Nuestra clínica, dispone de Ortopantomógrafo, y ordenador para realizar la técnica de implantes guiados en situaciones complejas, donde además precise de T.A.C.
Analgesia – Kalinox: En la Clínica Aljarafe de Tomares, Sevilla, contamos con técnicas anestésicas (sin ningún riesgo para el paciente) para control del dolor y la ansiedad.
Técnica Quirúrgica
La cirugía de colocación de un implante tiene una duración aproximada de 30 minutos, aunque este tiempo puede variar en función de la complejidad del caso.
Por ejemplo, el proceso será más rápido y sencillo si hay suficiente cantidad de hueso. En el caso de que el paciente no cuente con una cantidad de hueso que garantice la colocación del implante, se debe realizar otras técnicas para poder abordar la colocación de este. (Implantes cónicos, elevación de seno, colocación de injertos óseos, etc.)
Las fases de las que consta la cirugía son las siguientes:
Incisión: Se realiza un pequeño corte en la encía para posteriormente levantarla y poder acceder al hueso.
Fresado y colocación del implante: Para hacer la cavidad en el hueso donde se va a colocar el implante se utilizan diferentes fresas.
Sutura: Se cierra la herida con puntos para proteger la zona en la que se ha practicado la cirugía. La sutura se retira aproximadamente a los 7-10 días.
Cirugía Guiada: Los avances tecnológicos han facilitado la llegada de la cirugía guiada por ordenador. Ésta es una técnica mínimamente invasiva que permite estudiar el hueso del paciente y definir de manera virtual las coordenadas exactas en las que el cirujano va a colocar el implante. Posteriormente, se fabrica una férula quirúrgica que se utiliza durante la cirugía para que ésta sea más certera y no requiera abrir la encía. Con ello, se reducirá el periodo postoperatorio y éste será menos molesto.
La colocación de Implantes se hace con Cirugía Mínimamente Invasiva: sin puntos, es decir sin abrir.
Ventajas:
* No sangrado.
* Menor tiempo quirúrgico.
* Mejor integración del implante al hueso.
* No hay que quitar puntos.
Garantía:
* La implantología es una técnica probada y fiable.
* El porcentaje de éxito es superior al 95% con un seguimiento de más de 20 años.
Llámanos al 607 90 14 14, envíanos un email a info@campusdental.es o rellena nuestro formulario de contacto










